Fabrication de prothèses dentaires en céramique Laboratoire dentaire à Viry-Châtillon, près de Paris
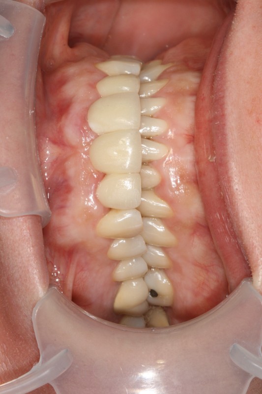
Le laboratoire dentaire SUPRODENT pratique les meilleures techniques de réalisation de prothèses qui existent dans le domaine et fait appel à ce qui se fait de mieux en terme de matériel et de composant pour la conception et la fabrication des couronnes céramiques.
Votre prothésiste dentaire installé dans le 91 à Vitry-Châtillon, vous propose un large éventail de réalisations pour répondre aux besoins de vos clients d'un point de vue esthétique et économique ( CMU et tarifs spéciaux).
Il est doté du scanner OPTINET NOBEL BIOCARE , utilisé pour :
- LA CERAMO METAL
- La Céramo métal sur COCR d'un cout moindre pour une esthétique et une résistance performantes
-
Céramique sur armature titane PROCERA
Translucide aux rayons X, poids réduit, faible conductivité thermique. Garantie CFAO : excellente adhérence à la céramique. - LE TOUT CERAMIQUE
-
Oxyde de zirconium : Réalisation des armatures par CFAO avec stratification e.max
Un excellent produit pour une esthétique parfaite du bloc antérieur et des bridges de longue portée voir complet. -
Céramique e.max Press
Produit tout céramique pour couronne unitaire et petit bridge.
Gardons contact
-
Nous écrire :
-
On vous rappelle :
-
Nous appeler :01.69.05.62.99
Consultez également :
